Finished student projects
Master theses
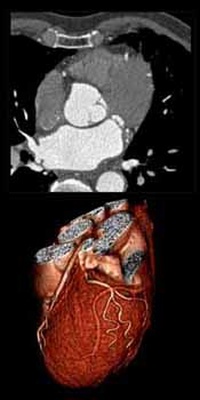
- Improved Detection of Atherosclerosis in Computed Tomography Images using Computational Fluid Dynamics by Habib C. Bou Sleiman
- Segmentation and tree extraction of coronary arteries in MSCT datasets by Victoria Quirante Ruiz
Semester projects
- Dual-Energy CT - Benefits for the Assessment of Atherosclerosis by Simon Eugster and Luca Regazzoni
- Classification of atherosclerosis in coronary arteries by Habib C. Bou Sleiman
- Boundary extraction of coronary arteries by Alessandro Rigazzi
- Automatic heart segmentation in CT datasets by Thomas Wismer
