Automatic Ascending Aorta Detection
The ascending aorta is an important anatomical landmark because it is the starting point for both physicians and computer aided diagnosis (CAD) tools for the assessment of coronary heart diseases. Physicians first navigate to the ascending aorta to detect the outlets of the coronary arteries. Then, they follow the course of the coronary arteries to their distal ends. CAD tools used in clinical workstations mimic the same approach, i.e. they also need the location of the ascending aorta as part of their assessment.
We have developed a
fast and
robust algorithm for the automatic detection of the ascending aorta in Computed Tomography Angiography datasets using a two-level threshold ray propagation approach. We evaluated the ascending aorta detection algorithm on 297 CTCA data sets from different CT scanners (Siemens Definition, Siemens Sensation 64, Siemens Sensation Cardiac 64, Siemens Sensation 16). A point within the ascending aorta was correctly detected in 288 (
97.0%) data sets.
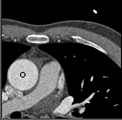
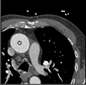
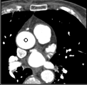
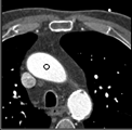
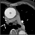
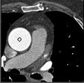
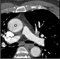
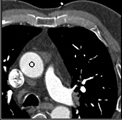
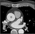
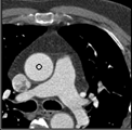
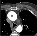
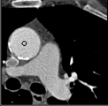
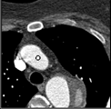
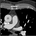
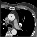
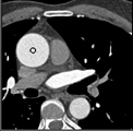
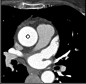
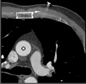
Samples for ascending aorta detection (black circle):
Cluster of candidate points in the ascending aorta.
Corresponding publication:
Saur S.C., Kühnel C., Boskamp T., Székely G., Cattin Ph. C.,
"Automatic Ascending Aorta Detection in CTA Datasets", Bildverarbeitung für die Medizin, p.323-327, 2008.
DOI 10.1007/978-3-540-78640-5_65
free link